Salta al contenuto principale

Scholl

Ginocchio Varo e Valgo: cause e rimedi

Ginocchio Varo e Valgo: cause e rimedi

Molto frequenti in età infantile e non meno diffusi in età adulta, ginocchio varo e ginocchio valgo rappresentano due disturbi che interessano la stessa parte del corpo ma possono avere sintomatologie e cause differenti.

Con ginocchio varo si intende una deformazione anatomica che interessa gli arti inferiori a causa della quale le ginocchia tendono a puntare l’una in direzione opposta all’altra, assumendo una tipica forma arcuata (tanto che uno dei nomi con cui si è soliti riferirsi a questo disturbo è proprio “ginocchia ad arco”).

Contrariamente al ginocchio varo, il ginocchio valgo è una deformità degli arti inferiori che vede le ginocchia tendere verso l’interno, l’una contro l’altra, andando ad assumere una posizione tipicamente a forma di X. Si tratta di un disturbo che si manifesta di frequente in particolare nelle donne a causa della peculiare conformazione del bacino.

In entrambi i casi si è in presenza di un disallineamento tra femore e tibie e per entrambi i disturbi, a seconda della severità, esistono diverse forme di varismo e valgismo: quelle più lievi sono generalmente prive di particolari complicanze, mentre le forme più gravi nel tempo possono avere delle ripercussioni che potrebbero comportare a seconda dei casi problemi nella deambulazione, disturbi ai legamenti del ginocchio, ridotta mobilità articolare e dolori muscolari.

Quali sono le cause di varismo e valgismo?

Le cause del ginocchio varo possono essere disparate. Oltre alla predisposizione genetica, può avere un ruolo nella comparsa del disturbo anche il soffrire di particolari condizioni fisiche come il rachitismo, la malattia di Blount o le malattie metaboliche delle ossa che potrebbero comportare un’alterazione dello sviluppo scheletrico. Il ginocchio varo potrebbe inoltre comparire anche a seguito di eventi traumatici come fratture del femore o della tibia.

Non di rado il varismo si presenta nell’infanzia, ma si tratta di un disturbo che generalmente tende a rientrare in modo spontaneo al crescere del bambino (nei primi anni di età). Per questo motivo, se il problema persiste nel tempo è bene rivolgersi un medico per verificare che non si tratti di un sintomo di altre patologie, come appunto rachitismo o malattia di Blount.

Le cause del ginocchio valgo, oltre anche in questo caso alla predisposizione genetica, possono essere riconducibili, fra le altre, alla larghezza del bacino, alle alterazioni nel funzionamento dei muscoli di anca, coscia o ginocchio, problematiche al femore o alla tibia, disturbi posturali o dell’arco plantare.

Ginocchio varo e valgo: i sintomi

Proprio per via della tipica forma ad arco o a X che consegue a ginocchio varo e valgo, la diagnosi di varismo e valgismo solitamente si basa sull’osservazione dell’aspetto degli arti inferiori, che costituisce il sintomo principale di questi disturbi.

A questo potrebbero accompagnarsene poi anche degli altri, come ad esempio:

  • Difficoltà nella deambulazione
  • Dolori o gonfiori articolari/muscolari
  • Senso di pesantezza e stanchezza agli arti inferiori
  • Rigidità articolare
  • Zoppia

Quali sono le conseguenze del varismo e del valgismo?

Se è vero che ginocchio varo e valgo rappresentano disturbi tipici dell’età pediatrica e soggetti a una normalizzazione fisiologica col crescere del bambino, e che inoltre nella maggior parte dei casi, anche in età adulta, non comportano sintomatologie particolari, è d’altra parte vero che se trascurati nel tempo potrebbero dare origine ad altre patologie del ginocchio e sviluppare problematiche a carico dell’apparato muscolo-scheletrico.

Per via di un’eccessiva sollecitazione delle ginocchia o dell’arco plantare, si potrebbe incorrere in disturbi nella deambulazione, una ridotta mobilità del ginocchio, lesioni dei legamenti, meniscopatie, deformità ossee, dolore alle ginocchia.

In entrambi i casi si possono sviluppare delle conseguenze a carico di altre parti del corpo, come dolori alla schiena, lombalgia e dolore lombare, dolori cervicali.

I rimedi per il ginocchio varo e valgo

Se sei alla ricerca di una soluzione, ricordati che il primo passo da intraprendere è quello di chiedere consulto a un medico specialista.

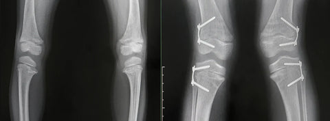
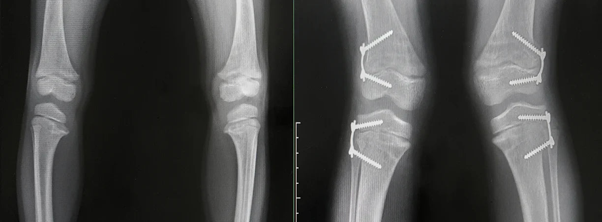
A seconda della severità di varismo e valgismo, le strategie terapeutiche possono essere diverse, fino ad arrivare all’operazione chirurgica. Solitamente si tende ad adottare delle strategie conservative, per ricorrere alla chirurgia solo nei casi più gravi.

Fra i rimedi per la correzione di questi disturbi alle ginocchia compaiono esercizi di fisioterapia, somministrazione di antinfiammatori e ginnastica posturale. Inoltre, esistono dei supporti plantari che aiutando a distribuire il peso corporeo lungo l’arco del piede, evitando un sovraffaticamento del piede e delle ginocchia che si potrebbe verificare per compensazione del disturbo.

In questo caso si tratta di plantari specifici, ergonomici e flessibili, studiati appositamente per donare sollievo a piedi e ginocchia, da indossare con scarpe di buona fattura per supportare in modo congiunto la camminata, e di conseguenza la schiena e le ginocchia per una migliore postura. I plantari vengono appositamente realizzati per alleviare i dolori contornando il piede e distribuendo uniformemente il peso corporeo riducendo la pressione sulla pianta del piede. Inoltre, stabilizzando l’andatura sostenendo adeguatamente il piede.

Condividi